מבזקים
סרוגים

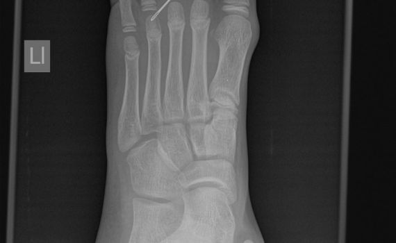
המחט חדרה לכף הרגל של הילד ונשברה

צוותי 'טרם' בבאר שבע שלפו מחט שחדרה לכף רגלו של ילד בן 12. הילד עוד ניסה להוציאה עצמאית אך היא נשברה. לאחר שווידאו הרופאים כי אין סכנה לכלי דם, נשלפה המחט בהרדמה מקומית

ו' כסלו התשע"ז
המחט חדרה לכף הרגל של הילד ונשברה
המחט חדרה לכף הרגל של הילד ונשברה צילום: צילום המסמר והרגל (באדיבות טרם)

למיון 'טרם' בבאר שבע הובהל ילד כבן 12, תושב האזור, כשהוא מתלונן על מחט שבורה הנעוצה בכף רגלו.

בתשאול שערכו אנשי הצוות הרפואי הסתבר כי הילד דרך על המחט והחל סובל מכאבים חזקים. כשהבין כי המחט חדרה לכף רגלו, ניסה הילד להוציאה באופן עצמאי אולם לדאבונו, נשברה המחט במהלך ניסיון ההוצאה, ולכן חש למיון.

המחט שהוצאה צילום דוברות טרםצילום: המחט שהוצאה צילום דוברות טרם
צילום המחט שהוצאה מהרגל (באדיבות טרם)

אנשי הצוות הרפואי במיון 'טרם' ביצעו לאיש בדיקות מקיפות ובהם צילום רנטגן ובדקו את הפגיעה. לאחר שגילו כי לא נגרמו פגיעות בכלי דם ברגל, ביצע רופא 'טרם', תחת הרדמה מקומית, פעולה כירורגית להוצאת המחט, ובתום זמן קצר מאז פקד הילד את שערי המיון, הוא שוחרר לביתו בתום טיפול מסור ומקצועי.

במיון 'טרם' קוראים לציבור ההורים להיות ערניים "לא אחת נשכחת מחט או חפץ מסוכן ללא השגחה, והדבר עלול להביא לפגיעות ממשיות, ועל כן נדרשת זהירות רבה בשימוש בחפצים מסוכנים" מציינים ומוסיפים כי "בכל מקרה שגוף זר חודר לגוף, חשוב להגיע לטיפול רפואי ולא לנסות להוציא את הגוף הזר באופן עצמאי – דבר שעלול לגרום לנזק חמור עוד יותר".

באר שבע טרם כף רגל רופאים