בית החולים אסותא באשדוד: בשבוע בטיחות הילד 4 ילדים פונו לטיפול רפואי לאחר שבלעו עצמים זרים.
בארבעת הימים האחרונים פונו אל בית החולים הציבורי אסותא באשדוד ארבעה ילדים לאחר שבלעו עצמים זרים – בין השאר, חלקי משחק עשויים מגנטים, חלקי שרשרת ומטבעות כסף. מתוך ארבעת הילדים ילדה בת 4 וילדה בת 7 נצרכו לטיפול רפואי מציל חיים והוכנסו לניתוחי חירום לאור מצבן.

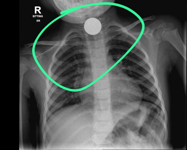
מיום שבת הובאו אל המחלקה לרפואת ילדים בבית החולים אסותא, ארבעה ילדים בני 7, 4, 10 ו-6 כשהם סובלים מאי שקט ומהקאות. בבדיקות שנעשו התגלה בצילומי הרנטגן כי ארבעתם סובלים מבליעה של עצמים זרים. הילדים בלעו בין היתר חלקי משחק, מגנטים, שרשראות ושניים בלעו מטבעות כסף של 10 אגורות.

בחלק מהמקרים הילדים שוחררו לביתם לאחר מספר שעות, אך חלקם הוכנסו לחדר ניתוח. בצילומי רנטגן שנעשו בילדה בת 7, התגלה כי חלקי המשחק שבלעה התיישבו במעי ולאחר שעות רבות בהם לא הצליחו לטפל במצב היא הוכנסה לחדר ניתוח בו הוציאו את החלק שנבלע. במקרה של בת ה-4 המטבע שבלעה גרם לחסימה חלקית ודחיקה של קנה הנשימה, דבר שמנע ממנה לנשום כראוי ולכן היא הוכנסה לחדר ניתוח גם כן. נציין כי הניתוחים עברו בשלום והילדים הועברו להמשך התאוששות בבית החולים.
ד"ר שרון אבנת תמיר, רופאה בבית החולים באזהרה להרים: "אני פונה לכל ההורים ומבקשת להזהירם: כאשר מדובר בילדים קטנים, כל דבר קטן שהם מכניסים לפיהם, יכול להישאף לריאות או להיבלע ולהיתקע בוושט. הרחיקו זאת מידיהם". "תפקידנו, ההורים, לגלות ערנות ולמנוע את האסון הבא!".
מה דעתך בנושא?
0 תגובות
0 דיונים