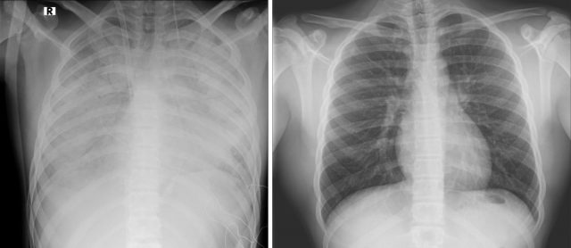
נער בן 16 מאושפז ביחידה לטיפול נמרץ לב במרכז שניידר לרפואת ילדים, במצב קשה לאחר שימוש בסיגריות אלקטרוניות. הנער הועבר למרכז שניידר מבית החולים קפלן, במצב של קריסת ריאות.
מבירור רפואי מקיף שערכו בבית החולים קפלן עלה כי מצבו של הנער נגרם, ככל הנראה, כתוצאה מעישון של סיגריות אלקטרוניות. הנער נמצא כעת ביחידה לטיפול נמרץ לב שהוא בהכרה, אך כאמור מחובר לאקמו. אמו של הנער מסרה כי היא מבקשת להתפלל לשלומו ומייחלת לכך שיתאושש ויחזור לעצמו, ומבקשת מכל ההורים להיות עירניים לנושא ולאסור על ילדיהם להשתמש בסיגריות אלקטרוניות, כדי שלא להגיע למצב הנוראי בו הם נמצאים כרגע.

לדברי פרופ' עובדי דגן, מנהל היחידה לטיפול נמרץ לב: "הנער התקבל ליחידה לטיפול נמרץ לב במצב קשה מאד כשריאותיו אינן מתפקדות, והוא זקוק לתמיכה מלאה של מכשיר אקמו. אנו מטפלים בו ומקווים מאד לשיפור במצבו בימים הקרובים. הנזק שנגרם, ככל הנראה, מעישון של הסיגריות האלקטרוניות הוא נזק עצום. אנו קוראים לכל ההורים, מנעו את המקרה הבא".
ד"ר חבצלת ירדן בילבסקי, מומחית בפרמקולוגיה קלינית וטוקסיקולוגיה במרכז שניידר מוסיפה כי סיגריות אלקטרוניות עלולות לגרום נזק חמור אף יותר מסיגריות רגילות. בספרות הרפואית קיימים דיווחים רבים על מחלת ריאות משנית לשימוש יתר בסיגריות אלקטרוניות, עד כדי קריסת הריאות. בחלק מהמקרים חומרי המילוי נרקחים באופן עצמאי עם חומרים מסוכנים שונים, מה שמעלה את הסיכון לנזקים חמורים עוד יותר, ובמקרה הזה – לקריסת ריאות של נער בן 16. אני קוראת לבני הנוער ולהורים להיות עירניים וממליצה להתרחק מסיגריות אלקטרוניות ובוודאי לא להשתמש בחומרים מסוכנים שנרקחים עצמאית.
מה דעתך בנושא?
4 תגובות
0 דיונים
לינוי יפרח
לינוי יפרח
09:55 20.04.2023שפה פוגענית
הסתה
דיבה
אחר
יואב
ראשית - מדובר בפרסומת שנמסרה לעשרה אתרים ופורסמה הבוקר. מישהו שילם עבור הידעה ויש לו אינטרס כלשהו,למשל - שיעשנו סיגריות עם ניקוטין וריח דוחה והתקפי לב - מבחינתו זה...
ראשית - מדובר בפרסומת שנמסרה לעשרה אתרים ופורסמה הבוקר. מישהו שילם עבור הידעה ויש לו אינטרס כלשהו,למשל - שיעשנו סיגריות עם ניקוטין וריח דוחה והתקפי לב - מבחינתו זה עדיף כי השיקול הוא ביזניז בלבד. אני לא יודע מה הוא הכניס לנוזל כי שימוש ליעודו אמור לגרום להפסקת עישון כפי שהוא גרם לרוב חבריי שהפסיקו לעשן את הזפת ועברו לסיגריה אלקטרונית עם נוזל שאין בו אפילו ניקוטין אלא רק גליצרין. משרד הבריאות הבריטי מעודד מעבר לאלקטרוני במקום סיגריות רגילות.בישראל להפך - מפחידים מאלקטרוני כדי שיחזרו לעשן
המשך 16:53 13.04.2023שפה פוגענית
הסתה
דיבה
אחר
למי תודה?
את התודה יש להוקיר לליצמן שר הבריאות שתמך בסיגריות האלקטרוניות
15:12 13.04.2023שפה פוגענית
הסתה
דיבה
אחר
רוימי רפאל
מסוכן מאוד רפואה שלמה ליד במצב קשה מי הסיגריה אלקטרונית הנוער בבקשה תפסיקו עים הדברים מסוכנים תיתנו להורים שלכם נחת אמן ואמן בעזרת השם יתברך שמו לעד תעזור לילד לתצאת...
מסוכן מאוד רפואה שלמה ליד במצב קשה מי הסיגריה אלקטרונית הנוער בבקשה תפסיקו עים הדברים מסוכנים תיתנו להורים שלכם נחת אמן ואמן בעזרת השם יתברך שמו לעד תעזור לילד לתצאת מי הברוך הזה
המשך 14:14 13.04.2023שפה פוגענית
הסתה
דיבה
אחר